6 bonnes raisons de nous faire confiance
Suis-je éligible ?
+80%
Des cas d’alignement sont
traitables par YourSmile
Par rapport aux appareils filaires traditionnels, le traitement par aligneurs est plus :
- → Discret : nos aligneurs sont fins et transparents, donc quasiment invisibles
- → Pratique : ils peuvent être retirés, et évitent les gênes générées par les bagues (blessures, caries, etc.)
- → Rapide : nos traitements durent 12 mois en moyenne (vs. 18 mois pour des bagues)
Aperçu Du Processus

01
Préparation
Lors du 1er RDV, le dentiste vous présente la solution, réalise les soins nécessaires (détartrage, caries…) et effectue les prises d’images.
Nos clients parlent de nous
Sélection de témoignages
Sarah, 28 ans
Je redoutais l’idée de porter un appareil dentaire. Les aligneurs YourSmile ont changé la donne : invisibles, confortables, et les résultats sont là !
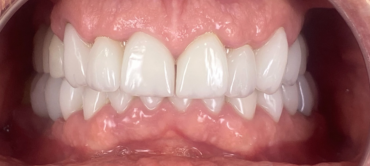
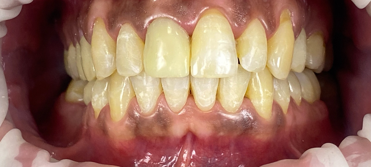
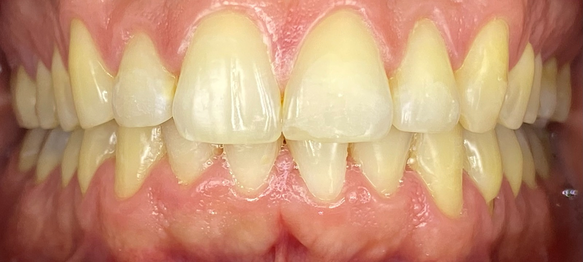
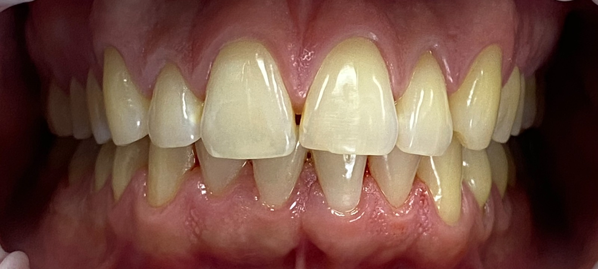
Cas Cliniques
Découvrez ce que nos clients pensent de nous !
Nous contacter
Notre équipe est à votre disposition
du lundi au vendredi de 09h à 18h -
et se fera un plaisir de répondre à
vos questions



